Hallazgos característicos en retinopatía diabética
👁️🗨️ Hallazgos característicos en retinopatía diabética
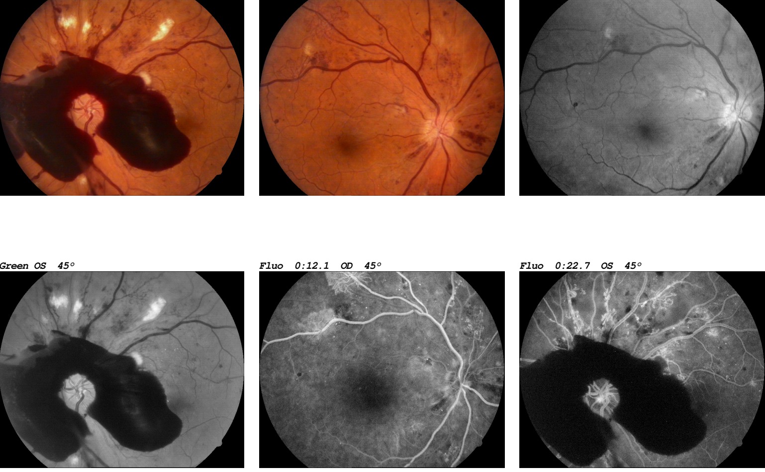
Microaneurismas: puntos hiperfluorescentes tempranos con fuga tardía.
Zonas de no perfusión capilar: áreas hipofluorescentes bien delimitadas.
Fugas difusas: en edema macular diabético.
Neovasos: hiperfluorescencia intensa con difusión progresiva.
Tinción del disco: signo de neovascularización de papila (NVD).

Última actualización: 2025-10-24 01:24:59