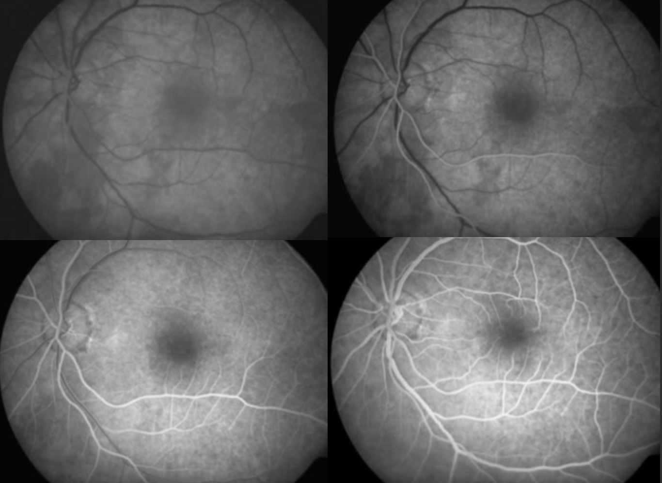
Fases del estudio
🩸 Fases del estudio
Preinyección – Imagen basal sin contraste.
Fase arterial – 10–12 seg: llenado de arterias retinianas.
Fase arteriovenosa – 15–25 seg: paso a capilares y venas.
Fase venosa – 25–45 seg: drenaje y flujo laminar.
Fase tardía – 5–10 min: difusión y tinción residual.
Cada fase aporta información distinta sobre fuga, perfusión y permeabilidad.

Última actualización: 2025-10-24 01:24:30