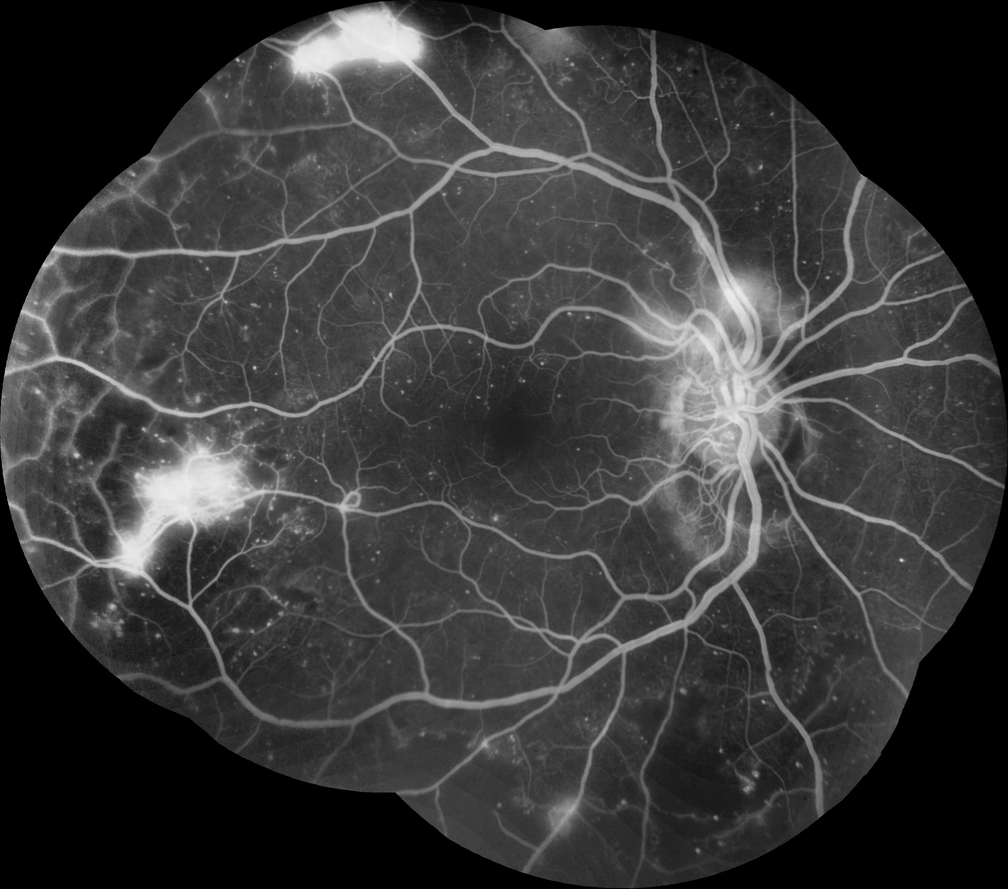
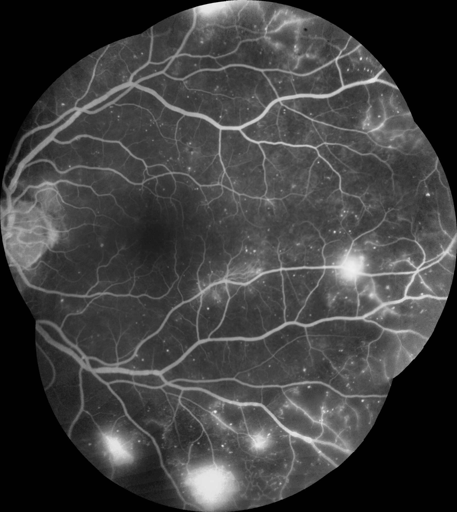
Retinopatía diabetica proliferativa
Sin RD
RDNP leve
RDNP Moderada
RDNP Severa
RDP
RDP Hemorragia
RDP Desprendimiento traccional
RDP Glaucoma neovascular
RD Consumada
E d e m a m a c u l a r





RDP
1) Sin CAR
2) Con CAR
CAR = Características de alto riesgo
Última actualización: 2025-10-23 23:29:52