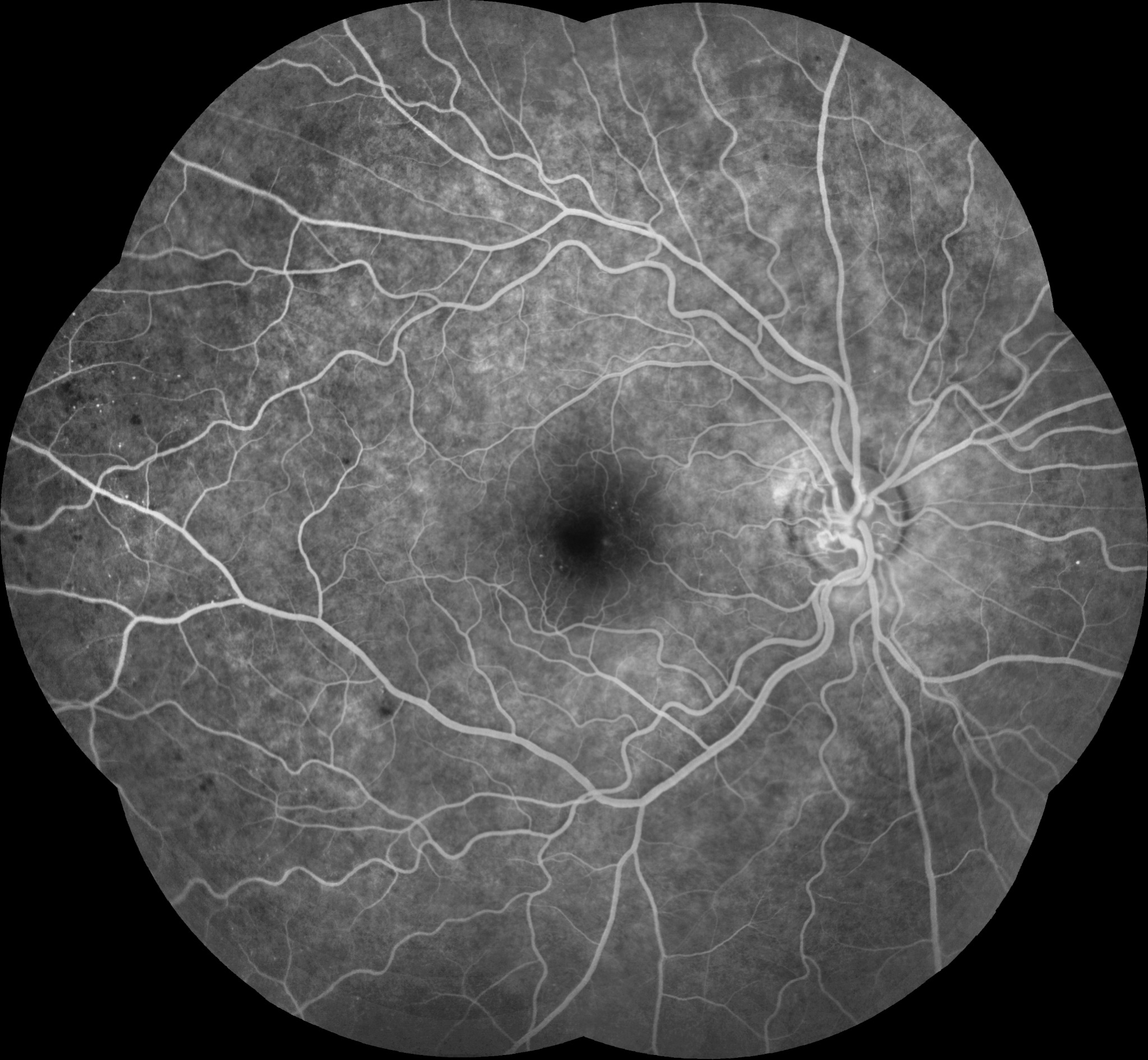
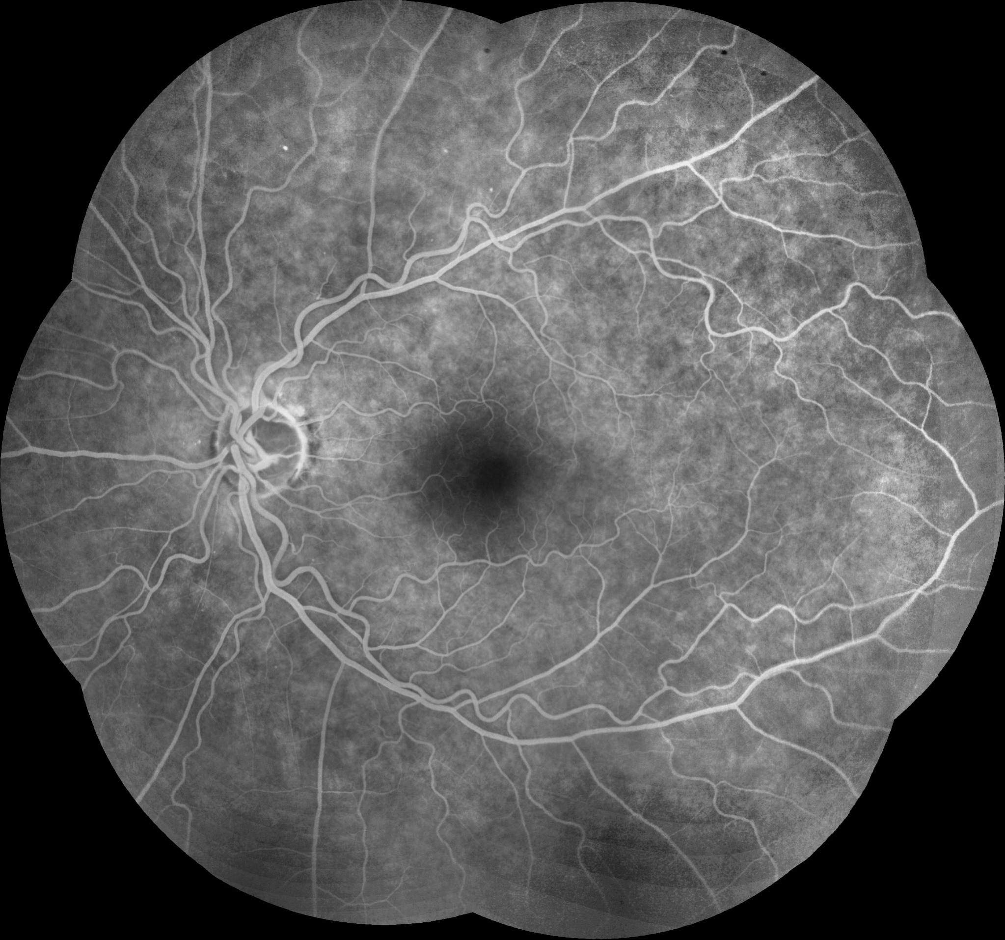
Retinopatía diabetica no proliferativa leve
Sin RD
RDNP leve
RDNP Moderada
RDNP Severa
RDP
RDP Hemorragia
RDP Desprendimiento traccional
RDP Glaucoma neovascular
RD Consumada
E d e m a m a c u l a r





1. Leve
-
Lesión característica: microaneurismas (pequeñas dilataciones capilares).
-
Sin hemorragias ni exudados significativos.
-
No hay afectación vascular importante ni isquemia evidente.
2. Moderada
-
Más microaneurismas y hemorragias intrarretinianas.
-
Aparecen exudados duros y manchas algodonosas (isquemia localizada).
-
Puede haber anomalías microvasculares intrarretinianas (IRMA) leves.
-
El flujo capilar empieza a deteriorarse, pero aún sin neovasos.
3. Severa
-
Cumple la regla 4-2-1 del ETDRS:
-
Hemorragias o microaneurismas en 4 cuadrantes,
-
IRMA en ≥2 cuadrantes,
-
o dilatación venosa en rosario en ≥1 cuadrante.
-
-
Indica una isquemia extensa con alto riesgo de progresión a retinopatía proliferativa.